15 тревожащих душу снимков, уровень странности которых зашкаливает - «Смешное»
![]() |
Хорошее настроение. Фото и видео приколы и всё это на нашем портале, наши журналисты стараються для вас, чтоб поднять вам настроение в щитанные секунды. Все фото и видео приколы и новинки сети интернет находятся здесь на нашем портале. Хоршего вам настроения... |
Вы когда-нибудь видели фотографии, которые выглядят словно кадры из вызывающего дрожь в коленях хоррора? Конечно, мы не будем вас так пугать, но фотографии, которые мы собрали, выглядят по крайней мере подозрительно странно и немного пугающе. От снимков тревожно выглядящих детских площадок до фотографии крупного плана паука-волка, далее вас ждут изображения, от которых какое-то время вам будет слегка не по себе.
![15 тревожащих душу снимков, уровень странности которых зашкаливает - «Смешное»]()
![]()
![]()
![]()
![]()
![]()
![]()
![]()
![]()
![]()
![]()
![]()
![]()
![]()
![]()
Татуированные десна

Диагностировать и лечить заболевания десен теперь будет намного сложнее.
Изображение блохи крупным планом

Это многоэтажное здание в Китае — не жилой квартал и не тюрьма — это свиноферма

Каково это случайно купить чье-то надгробие, думая, что это обычный камень?

«Когда я пытаюсь показать людям „класс“, то обычно всех пугаю»

Тревожно выглядящий манекен в торговом центре Бангкока, Таиланд

Вупи Голдберг в роли Чеширского кота в «Алисе в стране чудес», 1999 год

Трудно представить, какой уровень странности должен быть, чтобы кусать тренажеры в общественном спортивном зале

В этих глазах есть что-то человеческое

Ни капли не пугающая детская площадка...

«Нашел это в лесу»

«Я обнаружил 93 экземпляра „Форреста Гампа“ в шкафу при осмотре дома, который собираюсь купить»

Паук-волк крупным планом

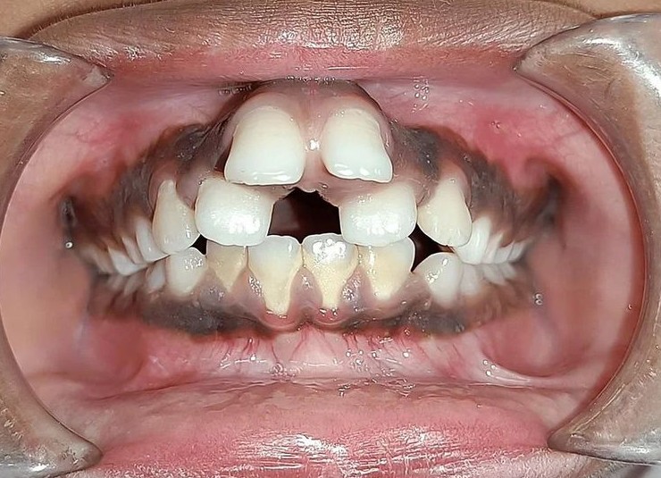
Случай множественных лишних зубов во рту десятилетнего мальчика из Индии

Книга по детской психологии 1969 года

Тут вы найдёте 15 фото, вызывающих слишком много вопросов, найти ответы на которые — сложная задача.
Похожие новости дня сегодня
( 0 ) Комментарии